Vidéos 3D - Page 3

Le dispositif de carrière

Le dispositif de carrière

Appareil herbst

Appareil herbst

Orthodontie : idées reçues, idées revues

Orthodontie : idées reçues, idées revues

Traitement orthodontique esthétique par gouttières

Traitement orthodontique esthétique par gouttières

Gouttières invisibles (avec taquets)

Gouttières invisibles (avec taquets)

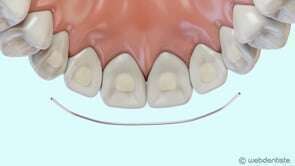
Fil de contention

Fil de contention

Affichage des articles 13-18 sur 21